Inicio Portada HOMS realiza radiocirugías estereotácticas con alto nivel tecnológico

HOMS realiza radiocirugías estereotácticas con alto nivel tecnológico

por Redacción

La Radiocirugía Estereotáctica o SRS se lleva a cabo en pocas sesiones y se trata de un tratamiento y no un procedimiento quirúrgico, por lo cual el paciente no es operado y tampoco necesita anestesia general

Santiago. El Hospital Metropolitano de Santiago (HOMS) realiza radiocirugías estereotácticas con tecnología de punta y ofrece este tratamiento a todos los pacientes de la región del Cibao, evitando el traslado innecesario de las personas hacia Santo Domingo.

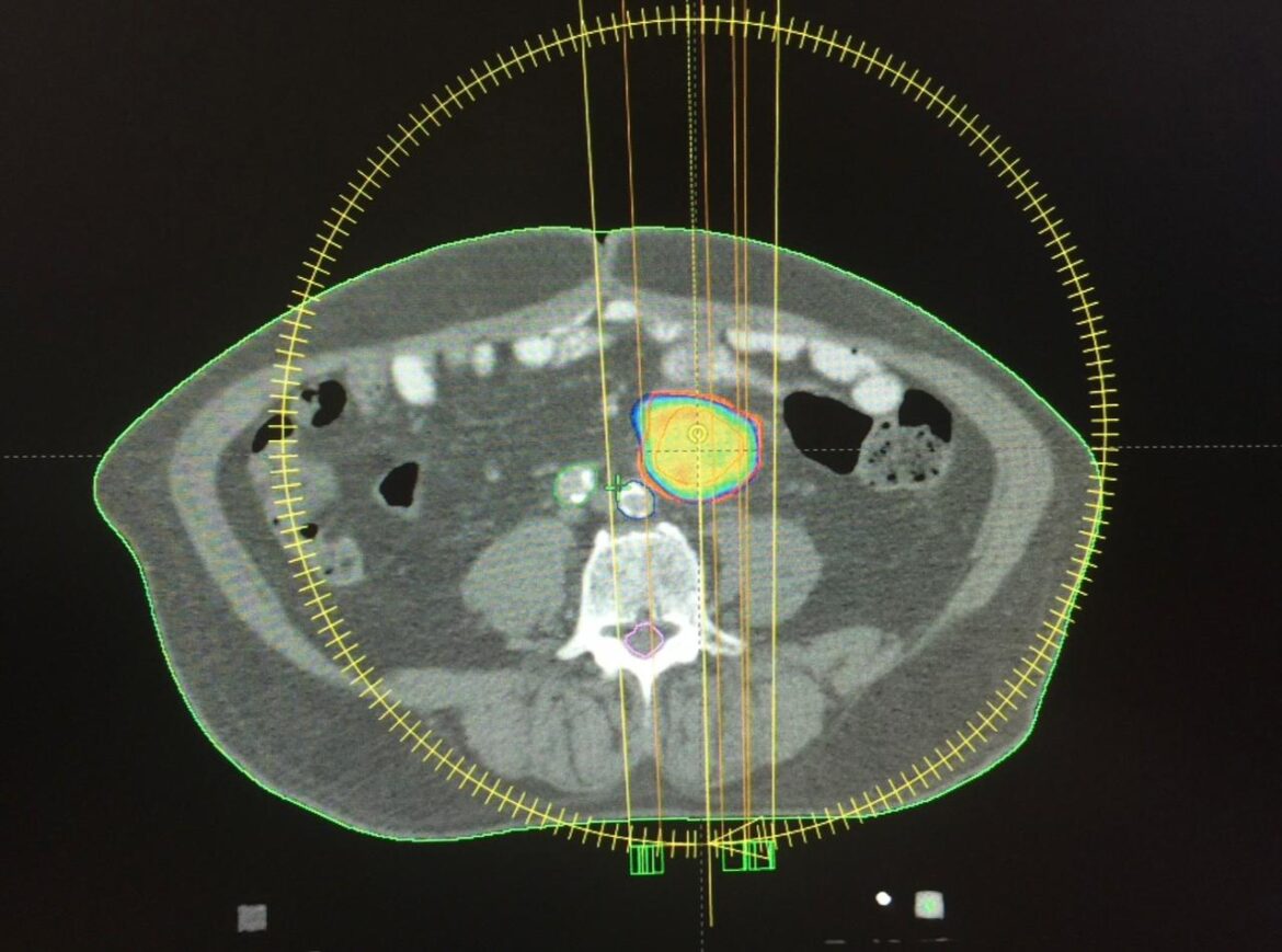
La Radiocirugía Estereotáctica o SRS, por sus siglas en inglés (Stereotactic Radiosurgery), es una técnica de tratamiento que permite concentrar altas dosis de radiación en una área pequeña y precisa del cerebro, respetando en un porcentaje muy alto los órganos cercanos.

Este proceso se lleva a cabo en pocas sesiones y se trata de un tratamiento y no un procedimiento quirúrgico, por lo cual el paciente no es operado y tampoco necesita anestesia general, ya que es totalmente ambulatoria y la persona puede reintegrarse a sus labores diarias casi de forma inmediata.

“Debo resaltar que este mismo tipo de tratamiento cuando se administra fuera del cerebro se conoce como Radioterapia Corporal Estereotáctica, conocida popularmente como Radiocirugía Extracraneal, y aplican los mismos conceptos, a excepción del marco estereotáctico el cual no se utiliza fuera del cerebro”, expone el encargado de la Unidad de Radioterapia del HOMS, doctor Luis Moreno Sánchez, quien es oncólogo radioterapeuta y médico nuclear.

De acuerdo con el doctor Moreno Sánchez, la radiocirugía tiene indicaciones precisas y se prescribe a pacientes que cumplen con los criterios necesarios, de allí la importancia de la evaluación y abordaje médico multidisciplinario, en procura de lograr la remisión de la lesión tumoral, control local, o irradiación del lecho quirúrgico donde se encuentra el tumor o lesión.

En 2015, especialistas del HOMS practicaron de manera exitosa la primera técnica de radiocirugía extracraneal, con avanzada tecnología en su Centro del Cáncer.

La práctica se realizó en un paciente con metástasis ganglionar de primario colorrectal, utilizando PET-CT y tomografía de abdomen y pelvis con doble contraste, fusión de ambas imágenes y posterior verificación antes del tratamiento, mediante imágenes tomográficas del blanco a tratar.

Sobre el HOMS

El HOMS es pionero en República Dominicana en intervenciones quirúrgicas con robótica y posee la certificación internacional de Accreditation Canada (ACI) como garantía de la seguridad y calidad asistencial, posicionándose como líder en turismo de salud de la zona norte del país.

0 comentario
0

You may also like

Deje un comentario